Gesicht des Ramses II. digital enthüllt

In einer brandneuen Studie haben Wissenschaftlerinnen und Wissenschaftlicher sich durch digitale Methoden dem Gesicht des berühmten Pharao Ramses II. angenähert.

Gesichtsabbildungen von Ramses II. ohne (oben) und mit (Mitte/unten) der Anwendung von Farb- und Texturschichten; links: 90 Jahre alt; rechts: 45 Jahre alt
Gesichtsabbildungen von Ramses II. ohne (oben) und mit (Mitte/unten) der Anwendung von Farb- und Texturschichten; links: 90 Jahre alt; rechts: 45 Jahre alt © Face Lab an der Liverpool John Moores University.

König Ramses II. (ca. 1279 v. Chr. bis 1213 v. Chr.), auch als Ramses der Große bekannt, war der dritte Herrscher der 19. Dynastie des Neuen Reiches im Alten Ägypten. Er erreichte ein Lebensalter von etwa 90 Jahren und gilt als einer der mächtigsten Herrscher des Reichs am Nil. Durch wissenschaftliche Untersuchungen der mumifizierten Überreste des Pharaos unter Verwendung von Computertomografie (CT) Scan-Daten und durch genaue Prüfung verfügbarer historischer Aufzeichnungen wurden 3D-Gesichtsabbildungen des Pharaos in zwei verschiedenen Altersstufen erstellt. Eine im Alter von 90 Jahren (seinem Todesjahr) und eine im Alter von 45 Jahren, als er auf dem Höhepunkt seiner militärischen Aktivitäten war.

Die königlichen Mumien der Könige und Königinnen des Neuen Reiches, die die wohlhabendste Periode im alten Ägypten (1550–1069 v. Chr.) umfassen, gehören zu den am besten erhaltenen antiken menschlichen Überresten, die noch existieren. Gesichter mumifizierter alter Ägypter waren schon immer ein Thema von öffentlichem Interesse. Der mumifizierte Körper von Ramses II. ist wie eine Zeitkapsel, die seine Gesichtszüge und Haare konserviert hat, was ermöglicht seine Gesichtsmerkmale eingehend zu studieren.

Wie wurde das Gesicht des Pharaos rekonstruiert?

Die Verwendung der Computertomografie (CT) bildet die Grundlage für eine sichere, physisch nicht-invasive und umfassende Untersuchung der mumifizierten Überreste. Die aus den CT-Daten erstellten 3D-Gesichts- und Schädelmodelle wurden verwendet, um die digitale 3D-Gesichtsrekonstruktion von Ramses II. zu erstellen. Nützliche Informationen lieferte zudem das erhaltene Gewebe der Mumie. Die Form und Struktur der Gesichtsmerkmale von Ramses II. wurden durch persönliche Inspektion der Mumie im Nationalmuseum der ägyptischen Zivilisation in Kairo, fotografische Dokumentation und die archäologische Literatur analysiert. Die Schädelform lieferte zusätzliche Informationen über das Zusammenspiel zwischen dem verbleibenden Gewebe und der Knochenstruktur. So ist eine genauere Darstellung des Königs als in den bisherigen Rekonstruktionen möglich.

Ein älteres Gesicht ist von zahlreichen altersbedingten Veränderungen betroffen, die einige Details verfremden. So können viele ältere Männer einander ähnlich erscheinen. Deshalb traf das Team die Entscheidung, den König in einem Alter von etwa 45 Jahren darzustellen. Die Forschenden nutzen verschiedene Software, um einige seiner Erscheinungsmerkmale unter Berücksichtigung altersbedingter Veränderungen anzupassen.

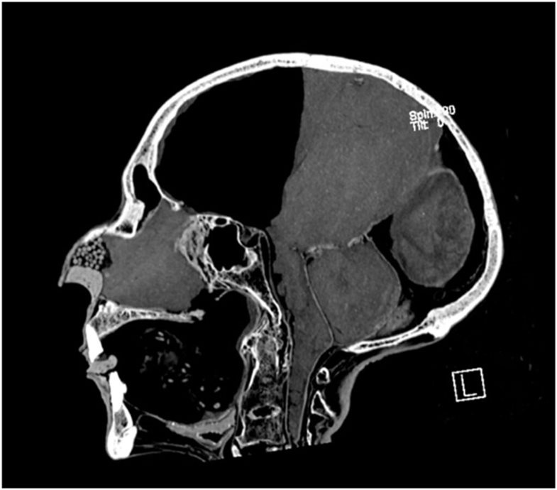
Zweidimensionales CT-Bild des Kopfes von Ramses II. Die Einbalsamierern legten einen kleinen Tierknochen und schwarze Pfeffersamen in die Nasenhöhle, um die Form der Nase zu erhalten
Zweidimensionales CT-Bild des Kopfes von Ramses II. Die Einbalsamierern legten einen kleinen Tierknochen und schwarze Pfeffersamen in die Nasenhöhle, um die Form der Nase zu erhalten © Sahar Saleem.
Bild
2 / 23D-Modell des mumifizierten Kopfes von Ramses II., basierend auf 2D-Röntgenaufnahmen © Caroline Wilkinson.

Was ist der Nutzen dieser Rekonstruktion?

Die angewandten Methoden zur Gesichtsrekonstruktion von Ramses II. in unterschiedlichem Alter haben ein großes Potenzial für die Anwendung bei der Darstellung weniger bekannter antiker Personen. Dies ist jedoch insofern einschränkend, als die Abbildungen Individuen in ihrem Todesalter darstellen. Die Anwendung von Gesichtsannäherungs- und Altersregressionstechniken auf eine breitere Personengruppe kann zu einem umfassenderen Verständnis der physischen Merkmale vergangener Bevölkerungen beitragen. Dies ermöglicht es Forschern möglicherweise, Muster im Erscheinungsbild oder in der Demografie der Bevölkerung zu erkunden.

Zudem fördert die Präsentation des Gesichts eines großen Kriegers, der Ägypten 66 Jahre lang regierte, das weltweite öffentliche Interesse, Diskussionen und das Bewusstsein für seine Errungenschaften. Darüber hinaus kann das Interesse an der altägyptischen Zivilisation den akademischen Austausch, den Tourismus, Museumsausstellungen weltweit und Initiativen für das kulturelle Erbe unterstützen. Daraus resultierende akademische Forschung und finanzielle Einnahmen können dazu beitragen, dieses wichtige Zeugnis auch für zukünftige Generationen zu bewahren.

Nach einem Artikel auf Science Direct

Caroline M. Wilkinson, Sahar N. Saleem, Ching Yiu Jessica Liu, Mark Roughley. Revealing the face of Ramesses II through computed tomography, digital 3D facial reconstruction and computer-generated Imagery. Journal of Archaeological Science, Volume 160, 2023, 105884, https://doi.org/10.1016/j.jas.2023.105884.

Antike Welt

Das Jahresabonnement der ANTIKEN WELT

Nutzen Sie den Preisvorteil!

  • Abopreisvorteil (D):
    108,- € zzgl. 8,10 € Versand (D) statt 137,55 € im Einzelkauf
  • inkl. Digitalzugang
  • 12.- € pro Ausgabe im Abo
  • insgesamt 9 Ausgaben im Jahr: 6 reguläre Hefte und 3 Sonderhefte
  • ohne Risiko, jederzeit kündbar 
Jetzt gratis testen
AiD Magazin

Das Jahresabonnement der Archäologie in Deutschland

Nutzen Sie den Preisvorteil!

  • Abopreisvorteil (D):
    108.- € zzgl. 8,10 € Versand (D) statt 137,55 € im Einzelkauf
  • inkl. Digitalzugang
  • 12,- € pro Ausgabe im Abo
  • insgesamt 9 Ausgaben im Jahr: 6 reguläre Hefte und 3 Sonderhefte
  • ohne Risiko, jederzeit kündbar 
Jetzt gratis testen